Trebate imati browser sa podrškom za JavaScript!

Mikrobiološka ordinacija
 
  lokacija: edukacija \ Gastritisi i crijevne zarazne bolesti   
 
 
 
ADRESA

Požeška 16
HR 21000 Split

H R V A T S K A
 
   KONTAKT

   tel: 021 / 531 - 948
   fax: 021 / 540 - 763
   

 
   RADNO VRIJEME


   radnim danom: 08:00 - 20:00
   subotom: 08:00 - 12:00
 
edukacija   
 

Helicobacter pylori

Helicobacter pylori je bakterija koja ima značajnu ulogu u nastanku i razvoju svih vrsta gastritisa i najvećeg broja peptičkih ulkusa. Podaci potvrđuju da je rizik razvoja karcinoma želuca i do 10 puta veći u osoba zaraženih s H.pylori.

Potvrđena je i uska uzročno-posljedična veza između zaraze H.pylori i razvoja još jedne vrste malignih bolesti limfatičkog sustava želuca tzv. nehodginskih limfoma (MALT limfom). Iako ova bakterija može uzrokovati navedena oboljenja, većina H. pylori infekcija je neprimjetna i bez ikakvih simptoma bolesti.
 


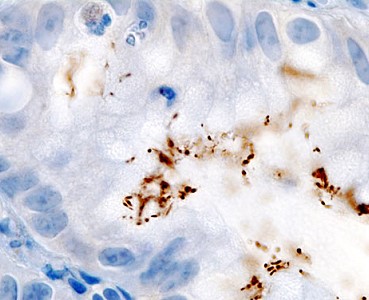
Sl.1. Helicobacter pylori
 

S H. pylori mogu se zaraziti i odrasli i djeca. Učestalost H. pylori infekcija je različita u pojedinim regijama i zavisna o socioekonomskim uvjetima života.

Simptomi koji se pojave uslijed prisutnosti bakterije, obično su simptomi gastritisa ili peptičkog ulkusa (čira). Simptomi gastritisa su mučnina, povraćanje i učestalo žaljenje na bolove u predjelu trbuha. Najučestaliji simptom peptičkog ulkusa je bol u predjelu trbuha, obično ispod rebara i iznad pupka. U težim slučajevima javljaju se simptomi kao što su krvarenja (povraćanje krvi i stolica crne boje), anemija, jako povraćanje, otežano i bolno gutanje hrane…

Osim u želučanoj sluznici, H. pylori dokazan i na ranicama usne šupljine, na zubnim naslagama, u slini i stolici.
Ovisno o dobi i simptomima, dijagnostički postupci za dokazivanje infekcije s H.pylori su:

1. invazivni (pregled sondom) endoskopski pregled sluznice želuca i duodenuma uz ciljano uzimanje uzoraka za biopsiju, brzi ureaza test, histologiju i mikrobiolološku kulturu. Ovakav postupak provodi se kod svih osoba s težim simptomima. Kod djece se postupak provodi pod sedativima.

2. neinvazivni (pregledi bez sonde) - metode koje otkrivaju prisutnost H.pylori:
    a) puhanjem- dokazivanjem aktivnosti bakterije urea izdisajnim testom
    b) pregled krvi ili slina (salive) na prisutnost specifičnih antitijela
    c) pregled stolice -dokazom antigena H. pylori

Urea izdisajni test je visokoosjetljiva i neinvazivna metoda za dokazivanje prisutnosti H.pylori. Ovaj test je jednako osjetljiv i specifičan kao i invazivne metode vezane uz endoskopski pregled, ali sa značajno manje neugodnosti za bolesnika. Ovaj test, s obzirom na njegovu jednostavnost i neinvazivnost, je idealna dijagnostička metoda za dokazivanje infekcije H.pylori i ocjenu provedene eradikacijske terapije. Samo za one pacijente koji pri tom pokažu i dalje prisutnu zarazu s H.pylori, postoji eventualna potreba za endoskopskim pregledom.

Pregledom krvi ili sline (salive) može se dokazati prisustvo specifičnih antitijela na H. pylori. To je jednostavan test kojim dokazujemo samo kontakt s H. pylori , ali ne i prisustvo same bakterije. Zato ovaj test nije pogodno raditi kada želimo kontrolirati uspjeh provedene terapije, jer antitijela mogu ostati prisutna u cirkulaciji duže vrijeme.

Pregled stolice je brz i jednostavan način otkrivanja specifičnog antigena bakterije H. pylori. Za razliku od serološkog testa na antitijela u serumu, ovaj test na bakterijske antigene otkriva aktualnu infekciju s H. pylori, a također služi za procjenu eradikacije bakterije, odnosno rezistentnosti na terapiju. Ponovno testiranje stolice nakon sedam dana i/ili 4 tjedna od početka terapije daje dobar uvid u proces liječenja bolesnika.

Način prijenosa H.pylori infekcije još nije potpuno istražen. Sva dosadašnja saznanja govore da se infekcija prenosi izravno sa zaražene osobe na zdravu, i to na tri glavna načina:

1. želudac - usta, kada iz povraćenog želučanog sadržaja, osobe koja sadrži veliku količinu bakterije, one dospiju u usta zdrave osobe;
2. usta - usta,
3. fekalno - oralni put (stolica-usta).

Liječenje H. pylori infekcije preporuča se u svih bolesnika s ulkusima (čir želuca ili dvanaesnika) ili ulkusnim ožiljcima. Za liječenje infekcije s H.pylori, danas se najuspješnije smatra trojno liječenje kombinacijom dva antibiotika tijekom 7 dana i jakog protusekretornog lijeka (inhibitora protonske pumpe). Nakon završenog trojnog liječenja infekcije s H.pylori, u slučaju duodenalnog ili ventrikularnog ulkusa, liječenje inhibitorom protonske pumpe treba nastaviti još 3 tjedna.